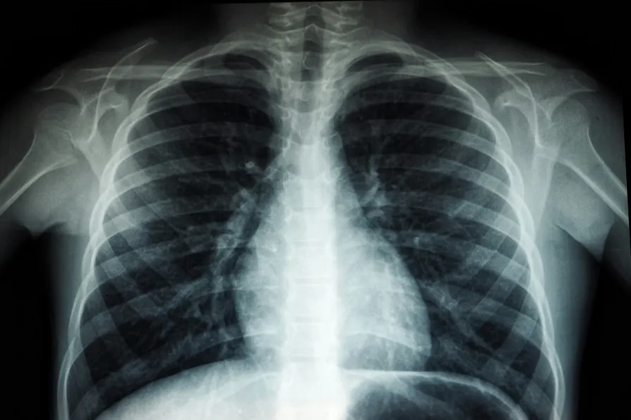
CAMPAIGNERS are demanding Scotland introduce a nationwide screening programme for lung cancer, with ministers being told action is critical.
Cancer Research UK made the plea as it revealed more than two thirds (68 per cent) of cases of lung cancer are diagnosed at a later stage when treatment is less likely to be successful.
The charity is calling on the Scottish government to immediately roll out a targeted lung-cancer screening programme in a bid to diagnose cases earlier and improve survival rates for sufferers.
Noting that such a scheme is being introduced in England, Dr Sorcha Hume, public affairs manager for Cancer Research UK in Scotland, said ministers cannot afford to fall behind.
She made the plea as cancer experts, policymakers, patients and charities gather today at the Scottish Cancer Conference in Glasgow.
Dr Hume said: “Lung cancer is the most common cause of cancer death in Scotland and a major driver of cancer inequalities: that’s why action to tackle it is so critical.
“Far too many people in Scotland are being diagnosed with lung cancer at a late stage when there are fewer treatment options.
“This is unacceptable when evidence shows that earlier diagnosis — through targeted lung-cancer screening — can potentially help thousands of people live longer, healthier lives.
“This is already being rolled out in England, and Scotland cannot afford to fall behind. The time to act is now.
“We need a clear commitment from the next Scottish government to fund and deliver a national programme without delay.”
The Scottish government said: “We have already committed to a lung screening pilot which will initially concentrate on some of the most deprived areas in Scotland as the first step to national rollout.”



